
Menteri Yassierli: Program Magang Nasional Batch 2 Dimulai 17 November 2025
JAKARTA Kementerian Ketenagakerjaan (Kemnaker) kembali membuka peluang besar bagi generasi muda Indonesia melalui Program Magang Nasiona
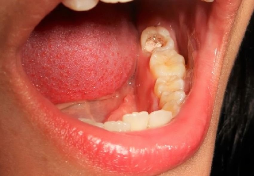
PemerintahanJAKARTA -Belakangan ini, sebuah kisah tragis mengenai seorang pria yang meninggal dunia akibat komplikasi dari gigi berlubang menghebohkan media sosial. Kisah ini dibagikan oleh sang istri melalui akun TikTok @aman******ra pada 8 Januari 2025. Dalam unggahan tersebut, sang istri menceritakan bahwa suaminya yang memiliki banyak gigi berlubang sering mengorek giginya dengan jari. Hal ini menyebabkan rasa sakit dan pembengkakan pada gigi graham, meskipun sempat mereda setelah mengonsumsi obat sakit gigi.
Namun, pada akhirnya, pembengkakan tersebut semakin parah, dan pria tersebut meninggal dunia karena infeksi yang berasal dari gigi berlubang tersebut. Hingga Selasa, 18 Februari 2025, unggahan tersebut telah dilihat hampir dua juta kali dan menarik perhatian banyak orang.
Penyebab Kematian Akibat Gigi Berlubang
Ketua Pengurus Besar Persatuan Dokter Gigi Indonesia (PB PDGI), Usman Sumantri, mengonfirmasi bahwa gigi berlubang bisa berbahaya hingga menyebabkan kematian jika terinfeksi bakteri. Salah satu infeksi yang berbahaya adalah abses, yaitu pembentukan kantong nanah di sekitar akar gigi yang dapat pecah dan menyebar, menginfeksi aliran darah dan mempengaruhi bagian tubuh lainnya. Hal ini bisa memicu komplikasi yang mengancam nyawa.
JAKARTA Kementerian Ketenagakerjaan (Kemnaker) kembali membuka peluang besar bagi generasi muda Indonesia melalui Program Magang Nasiona
PemerintahanJAKARTA Direktur Jenderal Energi Baru, Terbarukan, dan Konservasi Energi (EBTKE) Kementerian ESDM, Eniya Listiani Dewi, mengungkapkan ba
EkonomiJAKARTA Komisi III DPR RI tengah menggodok Revisi UndangUndang Kitab UndangUndang Hukum Acara Pidana (RUU KUHAP) dengan fokus pada pem
PolitikJAKARTA Komitmen PT Bank Rakyat Indonesia (Persero) Tbk dalam memberikan pelayanan unggul kembali menuai pengakuan nasional. adsensePad
EkonomiJAKARTA Anggota Komisi IX DPR RI Edy Wuryanto menilai rencana pemerintah melakukan pemutihan atau penghapusan tunggakan iuran BPJS Keseh
NasionalJAKARTA Pemerintah Indonesia kembali menerima suntikan investasi besar dari industri otomotif global. adsenseProdusen mobil asal Tiongk
EkonomiJAKARTA Menteri Pertahanan (Menhan) Sjafrie Sjamsoeddin menerima kunjungan Ketua Umum Partai Nasional Demokrat (Nasdem) Surya Paloh di Ka
PolitikJAKARTA Harga emas batangan produksi PT Aneka Tambang Tbk (Antam) kembali menembus rekor baru pada Rabu (15/10/2025). adsenseEmas 24 k
EkonomiJAKARTA Peran kecerdasan buatan (AI) semakin meluas dalam kehidupan seharihari, termasuk dalam dunia pariwisata. adsenseHasil riset t
Sains & TeknologiJAKARTA Indeks Harga Saham Gabungan (IHSG) diperkirakan melanjutkan pelemahannya pada perdagangan hari ini, Rabu (15/10/2025), setelah se
Ekonomi