DPRD Batu Bara Terima Audiensi Majelis Kedatukan Melayu, Dorong Perda Penguatan Lembaga Adat
BATU BARA, 21 April 2026 Dewan Perwakilan Rakyat Daerah (DPRD) Kabupaten Batu Bara menerima kunjungan audiensi dari Majelis Kedatukan Me
PEMERINTAHAN
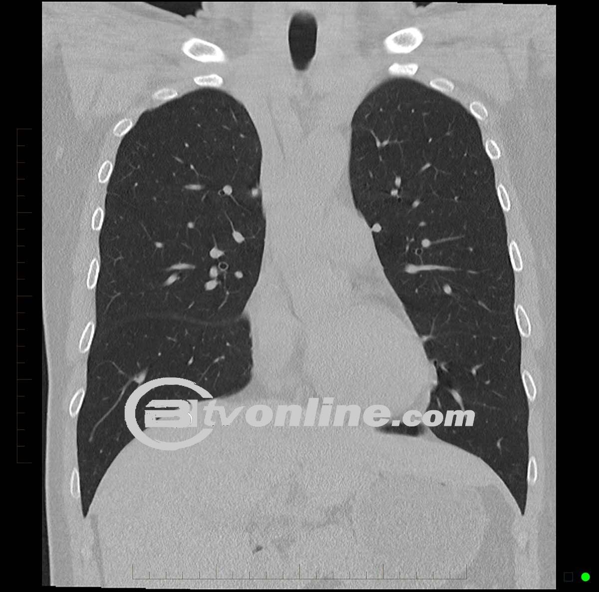
BITVONLINE.COM – Kanker paru-paru merupakan salah satu jenis kanker yang paling umum dan mematikan, sering kali ditandai dengan keluhan pada sistem pernapasan. Batuk adalah salah satu gejala yang paling sering dialami pasien, namun seringkali sulit dibedakan dari penyakit pernapasan lainnya. Spesialis paru-paru dr. Agus Dwi Susanto, SpP, mengungkapkan bahwa batuk yang diduga sebagai gejala kanker paru-paru biasanya disertai dengan kondisi lain yang lebih mengkhawatirkan.
“Gejala yang mungkin muncul paling sering adalah batuk berulang, batuk berdarah, berat badan turun, nyeri dada, dan sesak napas,” ujar dr. Agus saat ditemui di RSUP Persahabatan, Jakarta Timur, Kamis (10/10/2024). Ia menekankan pentingnya kesadaran untuk melakukan skrining dan deteksi dini, terutama bagi individu yang berisiko.
Deteksi dini dapat dilakukan melalui foto rontgen atau CT scan thorax, yang dapat memberikan gambaran rinci dari paru-paru dan jaringan di sekitarnya. Hal ini sangat penting, karena diagnosis yang cepat dapat meningkatkan peluang pengobatan yang sukses.
Selain gejala pada sistem pernapasan, dr. Agus juga mengingatkan adanya gejala fisik lain yang dapat muncul, seperti pembesaran kelenjar di leher atau asimetri pada rongga dada akibat adanya massa. “Beberapa tanda yang mungkin berkaitan dengan kanker paru-paru adalah paraneoplastic syndrome, yang dapat ditandai dengan bentuk kuku yang tidak normal atau agak bulat,” tambahnya.
Dr. Agus menekankan bahwa jika seseorang mengalami gejala-gejala ini, terutama jika mereka berada dalam kelompok berisiko, mereka harus segera berkonsultasi dengan dokter. Meskipun kanker paru-paru sering kali tidak menunjukkan gejala pada tahap awal, kewaspadaan dan kesadaran terhadap tanda-tanda tersebut dapat berkontribusi pada deteksi dini dan pengobatan yang lebih efektif.
Dengan meningkatnya kesadaran tentang gejala kanker paru-paru, diharapkan lebih banyak orang akan mengambil langkah-langkah proaktif untuk menjaga kesehatan paru-paru mereka dan menjalani pemeriksaan yang diperlukan. Kanker paru-paru bukan hanya masalah bagi perokok, tetapi juga dapat menyerang non-perokok, sehingga semua orang perlu waspada.
(N/014)
BATU BARA, 21 April 2026 Dewan Perwakilan Rakyat Daerah (DPRD) Kabupaten Batu Bara menerima kunjungan audiensi dari Majelis Kedatukan Me
PEMERINTAHAN
JAKARTA Partai NasDem menilai tidak perlu adanya lembaga khusus yang mengawasi proses kaderisasi partai politik (parpol) seperti yang di
POLITIK
MEDAN Pemerintah Provinsi (Pemprov) Sumatera Utara bersama Pemerintah Kabupaten Tapanuli Tengah (Tapteng) membentuk Tim Percepatan Penda
PEMERINTAHAN
JAKARTA Ketua DPR RI Puan Maharani meminta pemerintah bersama PT Kereta Api Indonesia (KAI) dan seluruh pemangku kepentingan terkait unt
NASIONAL
JAKARTA Presiden Prabowo Subianto melanjutkan agenda kunjungan kerja ke wilayah Jawa Tengah usai menjenguk korban kecelakaan kereta api
NASIONAL
SAMOSIR, 24 April 2026 PT Indonesia Asahan Aluminium(INALUM) kembali menegaskan komitmennya dalammendukung pembangunan dan peningkatan kes
EKONOMI
JAKARTA Kondisi Koordinator Komisi untuk Orang Hilang dan Korban Tindak Kekerasan (KontraS), Andrie Yunus (28), dilaporkan berangsur mem
HUKUM DAN KRIMINAL
MEDAN Wakil Ketua Komisi XIII DPR RI, Sugiat Santoso, melakukan kunjungan kerja ke kantor wilayah Perum Bulog Sumatera Utara (Sumut) unt
PEMERINTAHAN
BANDA ACEH Bendahara pengeluaran bersama staf satuan kerja (Satker) di jajaran Polda Aceh mengikuti kegiatan Bimbingan Teknis (Bimtek) p
PEMERINTAHAN
JAKARTA Menteri Energi dan Sumber Daya Mineral (ESDM) Bahlil Lahadalia memastikan pasokan energi nasional dalam kondisi aman dan stabil,
PEMERINTAHAN